病例资料
患者62岁,女。
家族史:无卵巢癌、乳腺癌、结直肠癌家族史。
妇检:外阴已婚式,阴道畅,盆腔空虚。
辅助检查:
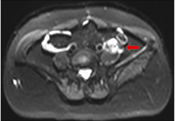
术前全腹部MRI增强提示:左侧腰大肌旁复发性淋巴结。

术前放置输尿管支架预防输尿管损伤。
治疗情况:
初治手术:
2022-02当地县医院因“盆腔肿物”行腹腔镜下全子宫+双附件切除。术后病理:左侧输卵管恶性肿瘤,大小8.5cm*4.5cm。
2022-03-16于东南大学附属中大医院补充手术,行腹腔镜下双侧骨盆漏斗韧带高位切除+大网膜切除+盆腔淋巴清扫术+腹主动脉旁淋巴结清扫术+盆腹腔腹膜多点活检+阑尾切除。
术后病理:均未见癌。腹腔冲洗液:见少量异型细胞。术后予紫杉醇210mg+卡铂450mg化疗3次。
复发一线治疗:
2023-06全腹部MR提示左肾门腹主动脉旁淋巴结转移;
2023-06-14行腹腔镜下腹主动脉旁淋色结切除术,术后病理结合免疫组化符合输卵管高级别浆液性癌来源;
2023年7月至10月予紫杉醇210mg+卡铂450mg化疗,后予尼拉帕利100mg d1+200mg d2维持治疗至今。
复发二线治疗:
2024-07-22 CA125:52U/L,全腹部CT提示:左骼总动脉左肿大淋巴结;
2024-07-31于东南大学附属中大医院行单孔腹腔镜下盆腔复发淋巴结切除术;
基因检测:BRCA阴性,HRD阳性。
术者简介

沈杨
东南大学附属中大医院党委委员、副院长
医学博士、教授、主任医师、博士生(后)导师
东南大学妇产科学系主任、妇女生命健康研究所所长
全国健康卫士、荣耀医者(专科精英),江苏省333工程第二层次人才
中国临床肿瘤学会(CSCO)妇科肿瘤专业委员会常委
中国抗癌协会宫颈癌整合防筛专委会副主任委员
中国医师协会妇产科医师分会/内镜医师分会委员
中国老年保健协会妇科肿瘤专委会主任委员
江苏省医学会妇产科分会副主任委员
江苏省研究型医院学会妇科人工智能与微无创专委会主任委员
擅长复杂性妇科肿瘤手术及综合治疗。专注妇科肿瘤医工交叉研究,承担国家科技重大专项课题1项、国家自然科学基金面上项目3项、其他各级课题10余项,在Advanced Materials(IF 29.4)、Photonix(IF 19.1)、Advanced Functional Materials(IF 19.0)、Advances Science(IF 17.5)、Journal of Controllled Disease(IF 11.5)、BIB(IF 9.5)等杂志发表SCI论文100+篇,H指数20。
责编:清欢
