子宫内膜异位症(Endometriosis,简称内异症)是一种常见的雌激素依赖性疾病,其病理特征为具有活性的子宫内膜组织异位生长于子宫腔外。虽然组织学上属于良性病变,但内异症表现出与恶性肿瘤相似的生物学行为特征,包括迁移侵袭能力、复发倾向以及潜在的恶变风险。
该疾病的病理过程中,多种因素共同导致局部氧化应激状态的形成:周期性经血逆流、异位内膜组织反复出血、巨噬细胞异常活化等,这些因素促使腹膜腔和病灶微环境中活性氧(ROS)水平升高。
ROS在疾病进程中呈现双刃剑效应:生理浓度下可调控细胞增殖、能量代谢和信号转导等基本生命活动;而过量累积则会引起DNA损伤、蛋白质功能异常和脂质过氧化等病理改变,最终触发细胞凋亡或铁死亡等死亡程序。
最新动物实验和临床研究证实,包括维生素制剂、N-乙酰半胱氨酸(NAC)、姜黄素及白藜芦醇在内的多种抗氧化剂能有效抑制异位病灶生长,展现出良好的辅助治疗前景。
然而,目前对ROS促进内异症进展的具体分子机制、特异性感应通路及其下游效应靶点的认识仍存在重大空白,这一认知局限不仅制约了抗氧化疗法的精准应用,也严重阻碍了对内异症致病机制的深入理解。
为探究ROS在内异症病程中的作用,上海交通大学医学院附属国际和平妇幼保健院许泓教授团队开展了一系列实验研究。
首先通过比较分析发现,内异症患者的异位病灶组织中存在明显的ROS蓄积现象,其水平显著高于正常在位内膜组织,这一发现证实了异位病灶处于氧化应激状态。
在动物模型研究中,本研究观察到ROS清除剂NAC能有效抑制异位病灶的生长,这为ROS参与疾病进展提供了直接证据。
体外实验研究表明,原代培养的子宫内膜间质细胞(ESC)在叔丁基过氧化氢(tBHP)诱导下,细胞内ROS水平呈现明显的剂量依赖性升高。作为反映细胞能量代谢状态的重要指标,ATP产量随着tBHP浓度变化呈现先促进后抑制的双向调节特征,且这种变化规律与细胞增殖活性的波动趋势高度吻合。
此外,氧化应激还是细胞衰老的关键诱因,但本研究发现低浓度tBHP处理ESC并未增加细胞衰老比例。与ISK上皮细胞和KGN颗粒细胞相比,ESC对适度ROS刺激展现出更强的耐受性和生存优势,这种特性可能有助于解释异位内膜细胞在氧化应激微环境中的存活机制,并为理解子宫内膜异位症的发生发展提供了新的视角。
本研究基于最新研究证据—通过半胱氨酸化学蛋白质组学结合CRISPR功能基因组筛选,发现CHK1是重要的ROS核感应蛋白,其通过调控线粒体翻译和核内过氧化氢水平维持基因组稳定性。
在此基础上,研究深入探索了CHK1在ESC应对氧化应激中的功能角色。实验结果表明,低浓度tBHP处理可诱导ESC中CHK1发生S345位点磷酸化激活,但其mRNA和总蛋白表达水平保持稳定,且这一激活过程可被抗氧化剂NAC所抑制。通过免疫荧光染色和核质分离分析,我们发现氧化应激条件下CHK1在ESC中呈现显著的胞质定位特征,提示其可能主要在胞质区室发挥功能。
临床样本分析显示,异位内膜间质中CHK1不仅表达水平显著高于在位内膜和正常对照组织,更表现出明显的胞质聚集现象。值得注意的是,这一表达模式与体外实验结果存在一定差异,提示在内异症病理条件下,CHK1可能受到更为复杂的调控网络影响,其确切分子机制有待进一步阐明。
为了探究ROS诱导激活的CHK1的下游靶点,本研究应用CHK1特异性抑制剂MK8776与tBHP处理细胞后开展质谱分析,共鉴定出278个差异表达蛋白。GO和KEGG分析显示,这些差异蛋白主要富集于磷酸化过程、细胞衰老及雌激素信号通路等生物学过程。鉴于雌激素在内异症致病机制中的核心作用,本研究重点验证了雌激素通路中的关键差异蛋白,并最终确定SGK1为CHK1的关键下游靶点。
SGK1作为一种丝氨酸/苏氨酸激酶,受细胞应激和激素信号调控,参与细胞增殖、凋亡、免疫应答及自噬等过程。随着tBHP处理浓度增加,ESC中SGK1 mRNA表达呈剂量依赖性升高,而其蛋白水平则呈现先升高后降低的动态变化。NAC的加入可显著抑制tBHP诱导的SGK1表达。我们进一步通过整合本研究的质谱数据与公共数据库(GSE179640和GSE213216)中子宫内膜异位症异位病灶间质细胞的单细胞测序数据进行联合分析,发现SGK1在异位病灶中表达显著上调。免疫组化和免疫荧光实验证实,无论在月经周期哪个阶段,异位间质中的SGK1表达均显著高于在位内膜及对照组子宫内膜。
为深入探究CHK1调控SGK1表达的分子机制,本研究通过一系列实验进行了系统验证。实验结果显示,在tBHP处理下,抑制CHK1虽然不影响SGK1的mRNA水平,却能显著抑制其蛋白表达,提示CHK1主要在翻译或蛋白稳定性层面调控SGK1,而非转录水平。过表达CHK1C408D突变体能够模拟氧化状态下CHK1的激活特性,此时SGK1的蛋白表达水平也显著上升。尽管免疫荧光检测显示SGK1与CHK1存在部分共定位现象,但免疫共沉淀实验证实二者并无直接相互作用。
为解析ESC中SGK1 mRNA与蛋白表达不一致的现象,本研究采用转录抑制剂放线菌素D和翻译抑制剂环己酰亚胺进行处理。结果表明在氧化应激条件下,CHK1通过非蛋白合成依赖的机制调控SGK1。进一步采用通路特异性蛋白降解抑制剂处理发现,自噬-溶酶体抑制剂氯喹(CQ)对SGK1的表达无明显影响,而蛋白酶体抑制剂MG132可显著提升SGK1蛋白水平。更重要的是,抑制CHK1活性会显著增强SGK1的泛素化修饰,这表明在氧化应激条件下CHK1通过调控SGK1泛素化来维持其蛋白稳定性。
鉴于前期实验已证实CHK1与SGK1之间不存在直接相互作用,本研究进一步探索了可能介导CHK1调控SGK1泛素化降解的中间蛋白。通过蛋白质下拉实验结合质谱分析,研究发现,具有E3泛素连接酶活性的TRIM32是关键候选分子。TRIM32能够介导多种底物的泛素化修饰,在细胞凋亡、炎症反应及氧化应激等病理过程中发挥调控作用。
基于AlphaFold3模型预测,研究发现SGK1与TRIM32存在潜在相互作用,这一预测通过免疫荧光和免疫共沉淀实验得到进一步验证。在ESC中,抑制TRIM32可上调SGK1蛋白水平,而过表达TRIM32则能增强SGK1泛素化修饰并抑制其蛋白表达,证实了TRIM32对SGK1的调控作用。
此外,TRIM32过表达可有效抑制CHK1质粒转染诱导的SGK1表达。这些结果表明,在CHK1调控下,TRIM32作为E3泛素连接酶调控SGK1蛋白稳定性,揭示了子宫内膜间质细胞响应氧化应激的新机制。
基于前期研究发现SGK1蛋白表达与ROS刺激下的细胞活力变化趋势一致,本研究采用siRNA沉默技术,在tBHP处理的ESC中敲低SGK1表达。实验结果表明,SGK1敲除可显著逆转tBHP诱导的ATP产量增加和细胞增殖促进作用。CHK1在ROS诱导的细胞活力调控中的核心作用也得到验证。在tBHP处理条件下抑制SGK1表达后,衰老ESC比例明显升高,同时衰老标志物(TP53、CDKN1A和CDKN2A)的mRNA表达水平显著上调。这些结果表明,在氧化应激条件下,SGK1是维持ESC细胞活力和抗衰老能力的关键效应分子。
最后,本研究在小鼠模型中对研究的体外实验结果进行了验证,发现异位病灶间质中CHK1和SGK1的表达水平显著高于子宫组织。经抗氧化剂NAC治疗后,病灶组织的ATP生成能力和增殖活性均显著降低,同时伴随CHK1和SGK1表达下调。
为探究CHK1/SGK1信号轴的功能,本研究通过腹腔注射MK8776(CHK1抑制剂)和GSK650394(SGK1抑制剂)对实验小鼠进行药物干预。结果显示,两种抑制剂均能显著减小病灶体积和重量、降低ATP产量并抑制细胞增殖,各治疗组中衰老相关标志物(p16/p21/p53)表达水平显著升高。
尽管研究发现MK8776或GSK650394处理对主要腹腔器官(子宫、卵巢、肝脏和肾脏)的p16、p21表达无显著影响,但这些化合物的长期安全性仍需进一步验证。
本研究结果揭示了选择性抑制CHK1或SGK1在子宫内膜异位症小鼠模型中的治疗潜力。鉴于这两种化合物目前尚未获批临床应用,在考虑临床转化前仍需通过系统的临床前研究全面评估其有效性和安全性特征。
综上,本研究揭示了CHK1/SGK1信号通路在调控氧化应激反应中的关键作用,为阐明子宫内膜异位症的发病机制提供了新视角。
研究结果表明,该通路通过维持细胞能量代谢稳态和抑制衰老进程,可能促进子宫内膜异位病灶的生长和存活。虽然CHK1或SGK1抑制剂展现出良好的治疗潜力,但其临床应用的安全性和有效性仍需通过系统的药理学研究加以验证。
本研究的发现不仅阐明了氧化应激促进子宫内膜异位症进展的分子机制,更为开发新型靶向治疗方案提供了重要的理论依据和研究方向。

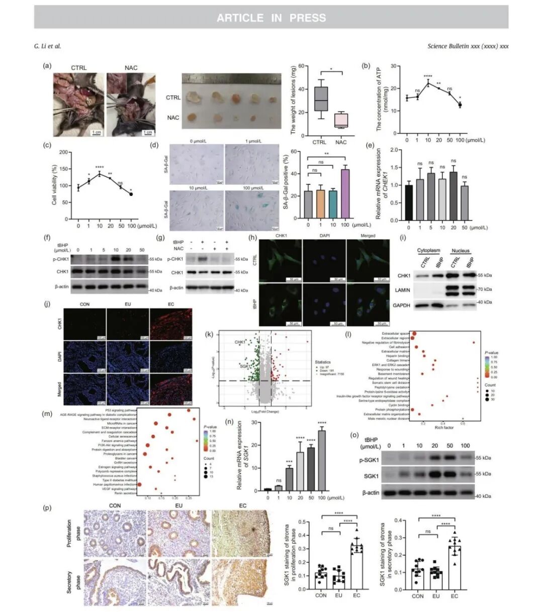
图1:活性氧对ESC功能及CHK1和SGK1表达的影响
(a) 子宫内膜异位症小鼠模型腹腔注射NAC处理(40 mg/kg)。展示了病变的大体形态。收集并称量每只小鼠的最大病变;
(b) 用tBHP处理ESC细胞6小时。测量ATP浓度;
(c) 通过CCK-8法计算细胞活力;
(d) 通过SA-β-Gal染色检测并量化ESC的衰老情况;
(e, f) 通过qPCR和Western-blotting检测CHK1的mRNA和蛋白水平;
(g) 用tBHP(10 µmol/L,6小时)和NAC(1 mmol/L,6小时)处理ESC。通过Western-blotting检测CHK1的表达;
(h) IF图像显示tBHP处理后CHK1在ESC中的定位;
(i) 对ESC进行核质分离,以评估CHK1的亚细胞定位变化;
(j) 使用IF检测人类组织样本中CHK1的表达和定位;
(k) 对ESC进行质谱分析(tBHP处理组 vs. tBHP+MK8776处理组(10 µmol/L,24小时));火山图展示了检测到的差异表达蛋白;
(l, m) 对差异表达蛋白进行的GO和KEGG通路分析;
(n, o) 通过qPCR和Western-blotting检测SGK1的mRNA和蛋白表达;
(p) 使用IHC检测人类组织样本中SGK1的表达。分析并统计增殖期和分泌期子宫内膜基质染色强度;(d, j, p) 比例尺 = 100 µm;
(h) 比例尺 = 50 µm。*P < 0.05; **P < 0.01; ***P < 0.001; ****P < 0.0001; ns:无统计学差异。
CON:对照组子宫内膜;
CTRL:对照;
EC:异位病灶;
EU:在位子宫内膜。

图2:氧化条件下CHK1对SGK1表达的调控作用及其介导ESC活力和抗衰老潜力的作用
(a,b) 用MK8776(10 µmol/L,24小时)和tBHP(10 µmol/L,6小时)处理ESC。通过qPCR和Western-blotting检测CHK1和SGK1的mRNA和蛋白表达;
(c) 转染CHK1或CHK1C408D质粒至ESC;
(d) 用tBHP、MK8776和MG132(20 µmol/L,6小时)处理。通过Western-blotting检测CHK1和SGK1的表达;
(e) MK8776处理后,通过co-IP联合Western-blotting检测SGK1的泛素化水平;
(f) 展示了SGK1 pull-down蛋白的银染图像;(g) AlphaFold3模型显示了SGK1(绿色)与TRIM32(棕色)之间的复合物;
(h) 通过IF检测TRIM32和SGK1的共定位;
(i) 通过co-IP验证SGK1与TRIM32之间的相互作用;
(j) 转染Flag-TRIM32质粒后,通过co-IP联合Western-blotting检测SGK1的泛素化水平;
(k) 过表达Flag-CHK1C408D和Flag-TRIM32后,通过Western-blotting检测SGK1、TRIM32和CHK1的表达;在SGK1沉默和tBHP处理后;
(l) 测量细胞ATP浓度;
(m) 通过CCK-8法检测细胞活力;
(n) 通过SA-β-Gal染色检测并量化细胞衰老;
(o) 通过qPCR定量SGK1、CDKN1A、CDKN2A和TP53的mRNA表达;
(p) 使用IHC分析NAC处理的病灶基质中SGK1、CHK1和Ki67的表达;
(q) 测量病灶的细胞ATP浓度;
(r) 用GSK650394(10 mg/kg)处理子宫内膜异位症小鼠模型。收集并称量每只小鼠的最大病变;
(s) 测量病灶的细胞ATP浓度;
(t) 通过IHC评估并分析统计病灶基质中SGK1、Ki67、p16、p21和p53的表达;
(h) 比例尺=10µm; (n, p, t) 比例尺=100µm。
内容来源:G. Li, K. Zhang, C. Wei et al., Reactive oxygen species signaling promotes lesion development in endometriosis through activation of the CHK1/SGK1 pathway, Science Bulletin, https://doi.org/10.1016/j.scib.2025.10.038
上海交通大学医学院附属国际和平妇幼保健院许泓教授、林瑜助理研究员为该论文的共同通讯作者,李国静博士、张可可硕士为该论文的共同第一作者。该工作得到了国家自然科学基金和上海市卫健委临床研究专项的支持。
内容审核:许泓教授团队

许 泓 教授
教授、主任医师、博士生导师
❖中国中西医结合学会生殖医学专委会副主委
❖中国医师协会妇产科医师分会内异症专委会委员
❖国家更年期保健特色专科建设学科带头人
❖上海医师协会妇产科分会副会长
❖上海医学会妇产科分会内异症学组副组长
❖上海康复医学会女性健康专委会主任委员

❖主要研究方向为子宫内膜异位症和子宫腺肌症
❖以第一(含共同)作者发表SCI论文4篇
责编:今路广